Bildgebendes Verfahren (Medizin)
Bildgebendes Verfahren (auch Bildgebende Diagnostik oder kurz Bildgebung) ist ein in der Medizin und speziell der medizinischen Diagnostik verwendeter Oberbegriff. Darunter werden verschiedene apparative Untersuchungsmethoden zusammengefasst, die (zwei- oder dreidimensionale) Bilddaten von Organen und Strukturen des Patienten liefern und vorrangig zur Diagnose krankheitsbedingter Veränderungen eingesetzt werden.
Bildgebende Verfahren in diesem spezialisierten Bereich beruhen auf Medizingeräten, die in diesem Zusammenhang auch als Modalitäten bezeichnet werden;[1] gelegentlich findet man den Begriff „Modalität“ jedoch auch als Synonym für „Bildgebendes Verfahren“.[2]
Begriffsgeschichte
Die Begriffe bildgebendes Verfahren, bildgebendes System oder bildgebende Methode finden vom Ende der 1970er Jahre an zunehmend Verwendung in der medizinischen Fachliteratur. Frühe Belege stammen aus den Jahren 1977 (… Röntgen u. a. bildgebende Methoden (Röntgentomographie, Xerographie) …[3]), 1979 (… Ultraschall als überlegene bildgebende Methode …[4]) und 1980 (Buchtitel: Bildgebende Systeme für die medizinische Diagnostik …[5]). Die Bezeichnung verbreitete sich also ungefähr gleichzeitig mit der wachsenden Zahl neuer bildgebender Verfahren (über das klassische Röntgen hinaus), wodurch die Prägung eines neuen, allgemeineren Oberbegriffs erst erforderlich wurde.
Einteilung der Verfahren
Systematisieren lassen sich die bildgebenden Verfahren nach verschiedenen Gesichtspunkten wie etwa nach ihrer Bilderzeugung mittels
- Röntgenstrahlung (z. B. Röntgenaufnahmen, Durchleuchtung, Computertomographie)
 - Radionukliden (z. B. Szintigraphie, Positronen-Emissions-Tomographie, Single-Photon-Emissionscomputertomographie)
 - Ultraschall (z. B. Sonographie, Farbdoppler)
 - Kernspinresonanz (z. B. Magnetresonanztomographie)
 - Infrarotstrahlung (z. B. diagnostische Thermographie)
 - Impedanz (z. B. Elektrische Impedanz-Tomographie bzw. EIT)
 - sichtbarem Licht (z. B. Endoskopie, optische Tomographie, Videorasterstereographie)
 
oder nach der Art der erzeugten Bilddaten (Schnittbilder, Projektionsbilder, Oberflächenabbildungen). Darüber hinaus wird unterschieden zwischen anatomischer und funktioneller Bildgebung.
Die Auswahl erfolgt in der Regel durch den Arzt und beruht auf den Anforderungen, die der Diagnostik gestellt werden. So werden beispielsweise Knochen in Röntgenaufnahmen gut dargestellt, die Szintigraphie kann unter anderem die Aktivitätsverteilung in der Schilddrüse darstellen.
Die meisten Verfahren liefern statische Aufnahmen. „Bewegte Bilder“ für Bewegungsabläufe, auch für Videoaufnahmen und während Operationen können Ultraschall, Durchleuchtung, Endoskopie, Elektrische Impedanz-Tomographie, teilweise auch die MRT erzeugen.
Die radiologischen Verfahren unterscheiden sich zusätzlich in der Strahlenexposition und der daraus folgenden Dosis. Demnach sollte nach Röntgenverordnung die Auswahl nach dem ALARA-Prinzip (so viel wie nötig, so gering wie möglich) erfolgen.
- 
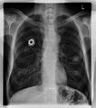
			Röntgenaufnahme des Thorax (Projektionsbild)
 - 
			
CT-Thoraxaufnahme (axiales Schnittbild) - 
			
PET-Hirnaufnahme (axiales Schnittbild) - 
			
Ultraschall-Aufnahme der Gallenblase - 
			
MRT-Kniegelenksaufnahme (sagittales Schnittbild) - 
			
EIT des Brustkorbs (transversales Schnittbild) - 
			
Endoskopisches Bild eines Magens - 
			
MRT des Sehnervs (axiale und koronale Schnittbilder) 
Diagnostik in Deutschland
| Diagnostik | 2005 | 2010 | 2011 | 2012 | 2013 | 2016 | 2018 | 
|---|---|---|---|---|---|---|---|
| Bildgebende Diagnostik | 5.073.309 | 8.417.123 | 9.125.033 | 9.728.437 | 10.255.233 | 12.324.956 | 13.216.070 | 
| Computertomografie (CT) | 2.972.307 | 4.183.728 | 4.450.125 | 4.709.286 | 4.957.593 | 5.825.017 | 6.296.363 | 
| Magnetresonanztomografie (MRT) | 1.008.944 | 1.518.625 | 1.622.007 | 1.696.235 | 1.767.005 | 2.012.067 | 2.028.008 | 
Literatur
- Roche Lexikon Medizin. 5. Auflage. Urban & Fischer Verlag, München 2003, ISBN 3-437-15150-9, S. 217–218 
	( 
 eingeschränkte Vorschau in der Google-Buchsuche). - Pschyrembel Klinisches Wörterbuch. 261. Auflage. Walter de Gruyter, Berlin 2007, ISBN 3-11-018534-2.
 - Sieglinde Bogensberger u. a.: Hexal-Taschenlexikon Medizin. 3. Auflage. Urban & Fischer Verlag, München 2004, ISBN 3-437-15011-1, S. 82–83 
	( 
 eingeschränkte Vorschau in der Google-Buchsuche). - Olaf Dössel: Bildgebende Verfahren in der Medizin. Springer Verlag, Heidelberg 1999, ISBN 3-540-66014-3 
	( 
 eingeschränkte Vorschau in der Google-Buchsuche). 
Einzelnachweise
- ↑ Christian Johner, Peter Haas (Hrsg.): Praxishandbuch IT im Gesundheitswesen: Erfolgreich einführen, entwickeln, anwenden und betreiben. Hanser, 
	München 2009, ISBN 3-446-41556-4, S. 233 
	( 
 eingeschränkte Vorschau in der Google-Buchsuche).
 - ↑ H. Ric Harnsberger, Patrica A. Hudgins, Richard H. Wiggins III, H. Christian Davidson (Hrsg.): PocketRadiologist – Kopf und Hals. Die 100 Top-Diagnosen. 
	Urban & Fischer, München 2003, ISBN 978-3-437-23600-6, S. 86, 200, 269, 302 
	( 
 eingeschränkte Vorschau in der Google-Buchsuche – englisch: PocketRadiologist – Head and Neck. Top 100 Diagnoses. Übersetzt von Christian Georg).
 - ↑ H. Buss: Biomedizinische Technik. In: Die Naturwissenschaften. 
	Band 64, Nr. 2, 1977, S. 76–81, 
	doi: 
 10.1007/BF00437347, 
	 
 PMID 840312.
 - ↑ H. Lutz, R. Ehler: 104. Akutes Abdomen – Entscheidungshilfen durch Ultraschalldiagnostik. In: Langenbecks Archiv für 
	Chirurgie. Band 349, Nr. 1, 1979, 
	S. 487–490, 
	doi: 
 10.1007/BF01729562.
 - ↑ Erich Krestel (Hrsg.): Bildgebende Systeme für die medizinische Diagnostik. Grundlagen, Technik, Bildgüte. Siemens Aktiengesellschaft, Berlin München 1980, ISBN 3-8009-1300-3.
 - ↑  
 Fallpauschalenbezogene Krankenhausstatistik (DRG-Statistik). 
	Statistisches Bundesamt (Destatis), abgerufen am 20. Oktober 2025.
 


© biancahoegel.de
Datum der letzten Änderung: Jena, den: 20.10. 2025